Accessibility links

Breaking News

Stealth Drug Targets Superbug Through Trojan Horse

update

The 12-ton fiberglass Trojan Horse, used in the 2004 film Troy, dominates Canakkale's seafront, 30 meters north of the ancient city of Troy. (Photo by BusyLizzy)
The 12-ton fiberglass Trojan Horse, used in the 2004 film Troy, dominates Canakkale's seafront, 30 meters north of the ancient city of Troy. (Photo by BusyLizzy)

The Trojan Horse allowed the ancient Greek army to enter the city of Troy and defeat it. A similar strategy could help doctors destroy superbugs that are resistant to current antibiotics.

The decreasing effectiveness of antibiotics is among the most critical challenges facing medicine today, as drug-resistant bacteria resist almost every therapy thrown at them. But researchers at the University of Washington School of Medicine wondered if superbugs could be tricked into taking in a molecule that looks like food but wreaks havoc once inside.

Microbiology professor Pradeep Singh said they focused on iron, which is a critical nutrient for bacteria to multiply and spread. He told VOA that natural binders in the body take up iron, which is also important for our health, and try to keep it from bacteria. But the invaders have mechanisms to get to the bound iron.

“So, we were thinking about an alternative way that didn't involve iron binding,” he explained. “How could we exploit the really high requirement for iron for infecting bacteria? And that's how we came up with the idea of using a chemical mimic to exploit the bacteria’s own uptake system to get an antimicrobial drug inside.”

An iron Trojan Horse

The mimic they chose was gallium, a metal similar to iron. And like many successful antibiotics, Singh notes that gallium targets a number of vital functions in the bacteria.

The research targeted Pseudomonas aeruginosa, which causes infection in the lungs, urinary tract, wounds and elsewhere. (Singh Lab, University of Washington)
The research targeted Pseudomonas aeruginosa, which causes infection in the lungs, urinary tract, wounds and elsewhere. (Singh Lab, University of Washington)

“We know that one of the things it does is it inhibits an enzyme that is involved in producing copies of bacterial cell DNA — that's really important for making daughter cells. If you can’t replicate your DNA, you can’t multiply. We’ve also shown that gallium can inhibit an enzyme that protects (bacteria) from oxidative stress like hydrogen peroxide. It probably does a bunch of other things, too, so it kind of just causes this kind of haywire in the cell for a bunch of those biological functions of iron.”

In lab studies, bacteria developed resistance to gallium at low rates, and its potency was increased when it was administered with some existing antibiotics. These factors led Singh and his colleague Chris Goss, a professor of medicine and pediatrics, to do preliminary tests of gallium in mice and humans, with exciting results detailed in the current issue of Science Translational Medicine.

A promising strategy against bad bacteria

In mice, they found that a single dose of gallum cured lethal lung infections.

The human trial — involving 20 patients with the lung disease cystic fibrosis — provided some tantalizing findings. Goss told VOA the gallium was given by infusion over five days. And while it rapidly cleared from the blood, it moved to the lungs, positively impacting patients’ breathing for up to a month.

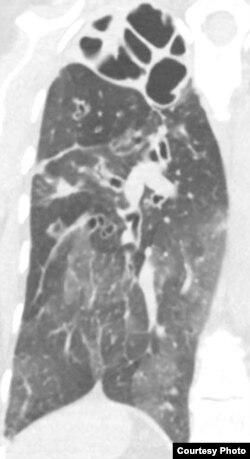
In this x-ray image, Pseudomonas infection in a lung is most visible at the top of the organ, which appears as a torn shroud over cavities. (Singh Lab, University of Washington)
In this x-ray image, Pseudomonas infection in a lung is most visible at the top of the organ, which appears as a torn shroud over cavities. (Singh Lab, University of Washington)

“The key measure in cystic fibrosis and many lung diseases is forced expiratory volume, which is, you blow in a tube, and we see how much you can blow. And what we found is actually (forced expiratory volume) increased significantly from baseline in the realm of what we would normally see in an antibiotic-treated population. So, a similar effect as giving inhaled antibiotics or some oral antibiotics. And that was what I think made this an unusual finding, that the proof seemed to be there that you can give this drug intravenously, and it would actually impact lung function.”

More research is needed to confirm gallium’s safety and effectiveness as a treatment, but preliminary results suggest that the strategy that ended the Trojan War might be a winning approach to today’s battle against superbugs.

XS
SM
MD
LG