Accessibility links

Breaking News

Silent Strokes Tied to Memory Loss Among Older Adults


A massive stroke - when a blood vessel in the brain bursts - can leave someone paralyzed, mute or dead. The World Health Organization says at least six million people died from strokes in 2008 alone. But not everyone recognizes when they've had a mild stroke, which may not cause any symptoms. New research indicates these so-called ‘silent’ strokes affect more people than previously thought. And they can cause memory loss in one out of four older adults.

The results of a stroke are painfully evident as this patient struggles to get out of a wheelchair and walk again.

Sudden numbness, physical weakness, difficulty speaking and comprehending and loss of balance are all common symptoms.

Stroke patients lucky enough to get to an emergency room in time often get the right treatment, and with physical therapy, manage to recover some of the motor skills they once had.

But scientists have found that a silent stroke, with no obvious symptoms, is often not diagnosed or treated as quickly. The patient continues daily routines, unaware that something has happened inside the brain. The damage is detected only when the patient undergoes a special MRI imaging procedure.

Silent Strokes Tied to Memory Loss Among Older Adults
Silent Strokes Tied to Memory Loss Among Older Adults
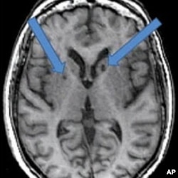
In this scan of a patient who has had two strokes, the arrows point to dark holes filled with fluid. Neuropsychologist Adam Brickman at the Columbia University School of Medicine, says these dark spots were once healthy cells killed by blood clots traveling to the brain.

Silent Strokes Tied to Memory Loss Among Older Adults
Silent Strokes Tied to Memory Loss Among Older Adults
The hippocampus - the red block in another section of the brain - controls memory, and may also be affected by a stroke.

“When we see memory changes in aging, we usually attribute those changes to some sort of functional change or structural change in the hippocampus. What we found was that in silent strokes, the presence of strokes in the brain was also related to memory functioning,” Brickman said.

Brickman and his colleagues studied a group of more than 650 men and women 65 years and older with no previous signs of dementia or severe memory loss. They underwent MRI brain scans, as well as tests to measure their ability to absorb information. Previous studies had found that changes in the size of the hippocampus and strokes were related to cognitive functioning, but Brickman says this research confirms a strong link between silent strokes and a decline in memory.

"What our study shows is that they're both independently related to memory functioning, and that's a new observation," Brickman explained.

The MRI scans identified silent strokes in one fourth of the participants who also did not do as well on memory tests. The researchers hope to follow the group in coming year, watching for signs of Alzheimer’s Disease, the most serious form of dementia.



More Health News

XS
SM
MD
LG