Accessibility links

Breaking News
USA

Love is a Matter of the Brain


Thai-Swedish couple William Timhede, 23, left, and Napatsawan Timhede, 39, kiss as they hang on sling wireas part of an adventure-themed wedding ceremony in Thailand, on Monday, Feb. 13, 2012, on the eve of Valentine's Day.
Thai-Swedish couple William Timhede, 23, left, and Napatsawan Timhede, 39, kiss as they hang on sling wireas part of an adventure-themed wedding ceremony in Thailand, on Monday, Feb. 13, 2012, on the eve of Valentine's Day.

Romance has complex biochemical nature

Tuesday, Feb. 14 is Valentine's Day, an annual occasion which celebrates romantic love.

However, love is not only a matter of the heart. Brain researchers have discovered romance has a complex biochemical nature.

While our thoughts and emotions seem like invisible, intangible things, these internal states can be inferred by monitoring blood flow in different parts of our brain using advanced imaging techniques.

Neuroscientist Lucy Brown conducted an experiment with 17 college students, who described themselves as being in the throes of new love. They were subjected to brain scans and asked to look at a picture of their beloved.

Without exception, the picture stimulated heightened electrical activity in two key areas of the brain: the caudate nucleus and ventral tegmental area.

Brown – a professor at Albert Einstein College of Medicine - says these two regions comprise the brain’s reward system. A primitive part of the organ also found in other mammals, it is more closely associated with the desire for food and water than with the sex drive.

"And this is the system that was active, to our amazement, in the people who were in love,” she says.

An MRI imaging machine similar to one researchers Lucy Brown and Helen Fisher used to test brain activity in 17 in-love college students.
An MRI imaging machine similar to one researchers Lucy Brown and Helen Fisher used to test brain activity in 17 in-love college students.

Brown notes that this is the region of the brain that lights up during a cocaine high, and is responsible for the craving that drives cocaine addiction.

A similar mix of euphoria and longing is familiar to anyone who has ever been in love, which may help explain why romantic love is often a bittersweet experience.

“It’s not just euphoria," Brown says. "You can be anxious. You can actually get angry a little. But the key, the core that remains, is this motivation toward the other person. That other person is a goal because they produce so much reward.”

When the brain’s reward system is aroused, it releases a neurotransmitter chemical called dopamine. Rutgers University anthropologist Helen Fisher, who worked with Brown on the brain imaging and love studies, says dopamine then spreads to other parts of the brain, each of which has its own function.

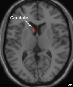
The caudate nucleus portion of the brain, which is associated with passion, becomes aroused when someone is shown a picture of a person with whom he or she is in love.
The caudate nucleus portion of the brain, which is associated with passion, becomes aroused when someone is shown a picture of a person with whom he or she is in love.

“As you reach for a piece of chocolate and want it, as you want to get a raise at work, as you want your child to do well in school, this brain system is being activated," Fisher says. "But it is being activated with a different combination of other parts of the brain, making the experience of wanting the chocolate different than the experience of wanting a sweetheart.”

The ventral tegmental area of the brain signals reward and drive in humans in the early stages of romantic love.
The ventral tegmental area of the brain signals reward and drive in humans in the early stages of romantic love.

According to Fisher, human courtship and pair bonding usually follow a distinct pattern. When a person first falls in love, everything about their beloved takes on special meaning.

"The car that they drive is different than every other car in the parking lot, the street they live on, what they wear, the music they like, the books they read. Everything about them is special – which by the way is an indication of the dopamine system in the brain.”

Fisher explains that the dopamine rush often leads to an intense focus on the beloved. That, in turn, can lead to the emotional roller coaster ride that is a common feature of romantic love.

“There is intense elation when things are going well, mood swings into horrible despair when things are going poorly. And tremendous energy. You can walk all night and talk until dawn. There are all kind of physiological responses - butterflies in the stomach, a dry mouth when you talk to the person on the phone, intense possessiveness," she says. "In other words, the full constellation of personality traits that are linked with romantic love are special to that particular feeling, and the reward system is part of that experience.”

Fisher offers a straightforward evolutionary reason why the drives to find sex, romance and long-term partnership can be so much more persistent and intense than most other human desires.

“[Charles] Darwin said, ‘If you have four children and I have no children, you live on and I die out.’ So it’s not how much money you make. It’s not how good looking you are. It’s not even how smart you are. It’s how many children you have. How much of your own DNA you pass on to tomorrow," Fisher says. "So parts of the brain are simply built to go out and find a lot of different partners, focus on just one at a time, fall in love with that individual, attach, then remain attached at least long enough to raise a child through infancy together as a team.”

This deep-seated link between love and survival explains our cultural pre-occupation with mating, for better and for worse.

“People live for love; they sing for love; they dance for love; they compose all kinds of myths and legends for love. But they also kill for love and they die for love. So love is a tremendously powerful brain system. In fact, I’d call it an addiction - a perfectly wonderful addiction when it’s going well and a perfectly horrible addiction when it’s going poorly.”

And like any addiction, love can cloud our judgment, lending credence to the line in that old Elvis Presley song that when it comes to love, “only fools rush."

XS
SM
MD
LG